近日,马先生(化姓)因扭伤导致左足跟疼痛、肿胀,伴有踝关节活动受限。为求进一步治疗,遂慕名来到襄阳市中医医院足踝骨科。
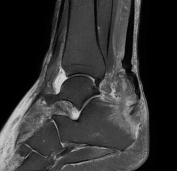
足踝骨科主任王春玲接诊了马先生,为其仔细查体后发现,他左足跟腱走行区可触及空虚感,左踝关节跖屈活动受限,考虑为跟腱止点断裂。随后的磁共振检查验证了这一诊断,马先生被诊断为左足跟腱断裂、跟腱止点撕脱性骨折。
结合患者伤情及影像学表现,足踝骨科团队快速为其制定了手术方案。马先生入院第二天,王春玲带领团队在麻醉下行左足跟腱切开探查缝合术+石膏托外固定术,经过团队的努力,手术顺利完成。术后,马先生恢复良好。
王春玲提醒,跟腱是人体足踝后部最强大的肌腱,连接小腿后方的肌肉与跟骨,也主导踝关节的跖屈,对于日常行走、体育运动等十分重要。跟腱受伤多发生在跑步、跳跃和突然起停的运动中。
他建议,日常运动前应充分热身,循序渐进增加运动强度,加强下肢肌肉力量训练,做好运动防护。若出现足跟部肿痛,或者运动时听到肌腱断裂声响、无法正常行走时,应尽快到医院就诊。若确诊为跟腱断裂,应该尽早接受专业处理,拖延过久可能导致断端回缩,增加手术难度。(王睿)

术前MRI